The Dentist
Services
Paediatric Dentistry
Scaling and Polishing
Periodontal treatment
Fillings
Cosmetic Dentistry
Root Canal Treatment
Extractions
Dental Implants
Nightguards
Digital Xrays
The Clinic
Clinical Cases
FAQs
Contact
(+30) 2106252079
Home
Clinical Cases
porcelain veneers to correct diastema of upper anterior teeth
porcelain veneers to correct the shape of the teeth and the diastema
Composite veneers to correct the shape and diastema of the upper anterior teeth
porcelain veneers to correct attrition of the upper anterior teeth
Porcelain veneers to correct attrition of the upper anterior teeth
Composite Veneers to correct the shape of the upper anterior teeth
Teeth Whitening
Change old resin look to improve aesthetic performance
Aesthetic smile improvement with resin faces
Aesthetic Smile Improvement with Resin Faces for aligning upper anterior teeth
Whitening strongly discolored teeth
Advanced Resin Sides for tooth shape change due to abrasion
Extinction of dychromatic spots with micro-abrasion and resin faces
Smile correction with resin faces
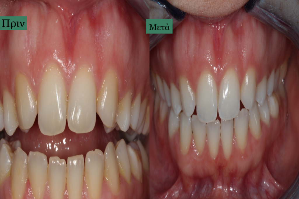
Change shape, color, and pitch of teeth with composite resin faces.
Close spaces with porcelain veneers.
Change of old metal ceramic crowns with all-ceramic
Replacement of an old ceramic flange with all-ceramic, color change and tooth shape with composite resin faces
Space closure with composite resin faces
Composite resin faces for treating severe erosions in a patient with anorexia nervosa.